RZADKI ZABIEG PRZEZSKÓRNEGO ZAMKNIĘCIA DUŻEJ, WRODZONEJ PRZETOKI WIEŃCOWEJ W NASZYM SZPITALU!
Wrodzone anomalnie tętnic wieńcowych występują rzadko, choć uważa się że stanowią drugą co do częstości przyczynę nagłej śmierci u młodych sportowców. Do patologii powstających wskutek nieprawidłowego rozwoju embriologicznego należą również przetoki tętnic wieńcowych. Uchodzą one zwykle do jednej z tętnic płucnych lub jam serca. Najczęściej przetoki te są niewielkie i nie mają istotnego znaczenia klinicznego. Większość z nich jest diagnozowana przypadkowo podczas koronarografii lub tomografii komputerowej tętnic wieńcowych. W wyjątkowych przypadkach pojawiają się jednak wskazania do zamknięcia (przezskórnego lub chirurgicznego) takiej przetoki. Duże przetoki mogą bowiem być przyczyną choroby niedokrwiennej serca (objawy dławicowe występują wskutek „podkradania” krwi z tętnicy wieńcowej przez przetokę), występowania szmeru nad sercem, zaburzeń rytmu a nawet niewydolności serca.

Skład zespołu zabiegowego: od lewej – lek. med. Maciej Panek, lic. Agnieszka Wołkowicz (elektroradiolog), mgr piel. Beata Rapacz, dr n. med. Krzysztof Krawczyk.
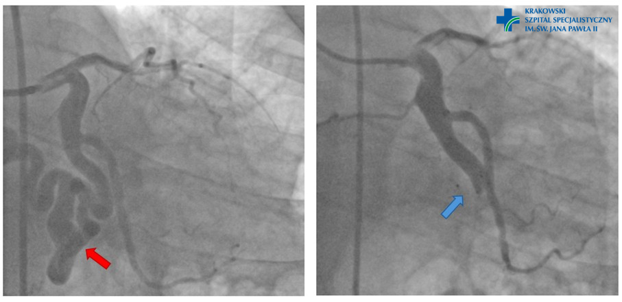
W ostatnim czasie w naszym szpitalu lek. med. Maciej Panek z Oddziału Klinicznego Choroby Wieńcowej i Niewydolności Serca z Pododdziałem Intensywnego Nadzoru Kardiologicznego przeprowadził wraz z zespołem zabieg zamknięcia dużej, wrodzonej przetoki naczyniowej pomiędzy gałęzią okalającą lewej tętnicy wieńcowej a żyłą główną górną – u młodego, 48-letniego pacjenta. Procedura wykonana była z dostępu przez prawą tętnicę udową wspólną – z uwagi na rozmiary i stopień krętości naczynia, pierwsza próba wykonania zabiegu przez tętnice promieniową była nieskuteczna. Do początkowego odcinka przetoki naczyniowej wprowadzono specjalne urządzenie zamykające przetokę, oszczędzając przy tym samą gałąź okalającą lewą tętnicę.

Po lewej stornie ryciny oznaczono czerwoną strzałką dużą przetokę naczyniową pomiędzy gałęzią okalającą lewej tętnicy wieńcowej a żyłą główną górną. Na lewej ryciny oznaczono niebieską strzałką miejsce zamknięcia przetoki za pomocą urządzenia do zamykania ubytków serc (widoczne dwa czarne markery).
Pacjent po zabiegu czuł się dobrze i już kolejnego dnia został wypisany do domu.
E-Rejestracja


